Solutions
Imaging Solutions for Every Application
Medical solution
iRay provides medical system OEMs with state-of-the-art solutions for X-ray imaging with flat panel detectors. We have advanced the field of DR with our innovation wireless or tethered detectors for mobile or general radiography. iRay detectors for fluoroscopic applications are designed to optimize image quality at the lowest entrance dose by providing high detective quantum efficiency (DQE). Detectors for mammography have both high resolution and image at high frame rates to enable 3D mammo tomosynthesis.
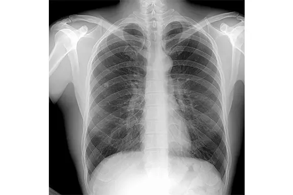
General Radiography
Supporting a fast workflow with superb image quality, iRay provides a variety of excellent digital solutions for general DR systems. iRay has developed a variety of flat panel detectors with custom a-Si pixel design and direct deposition CsI scintillators. All deliver high DQE, resulting in excellent image quality at a reduced patient dose versus film or CR. Detectors for this application can be either wireless Or tethered. We focus on optimizing system integration with efficient Automatic Exposure Detection (AED), on-board pixel correction, and reliable data connectivity. The iRay DR console solution is designed to work with our detectors and supports an optimal patient work flow, advanced image post-processing, and PACS connectivity for radiology review.
Related Products
Mobile Radiography
Supporting a fast workflow with superb image quality, iRay provides a variety of excellent wireless solutions for Mobile DR systems.
iRay has developed a variety of flat panel detectors with custom a-Si pixel design and direct deposition CsI scintillators. All deliver high DQE, resulting in excellent image quality at a reduced patient dose versus film or CR. Detectors for this application are all wireless, With a dependable dual band WiFi interface. We focus on optimizing system integration with efficient Automatic Exposure Detection (AED), on-board pixel correction, and reliable data connectivity.
The iRay DR console solution is designed to work with our detectors and supports an optimal patient work flow, advanced image post-processing, and PACS connectivity for radiology review.
Related Products
Mammography
iRay detectors for Mammography are designed for both full field digital mammography (FFDM) and digital breast tomosynthesis (DBT) applications.
The high resolution detectors have optimized CsI developed for mammography providing high detective quantum efficiency (DQE) for imaging at low dose. They feature a tapered enclosure profile which provides a narrow edge, hereby extending the field-of-view for improved chest wall coverage.
The Mammo 1012X is based upon the iRay innovative IGZO sensor technology, and its cassette sized enclosure also makes it ideal for mammography digital retrofit systems.
Related Products
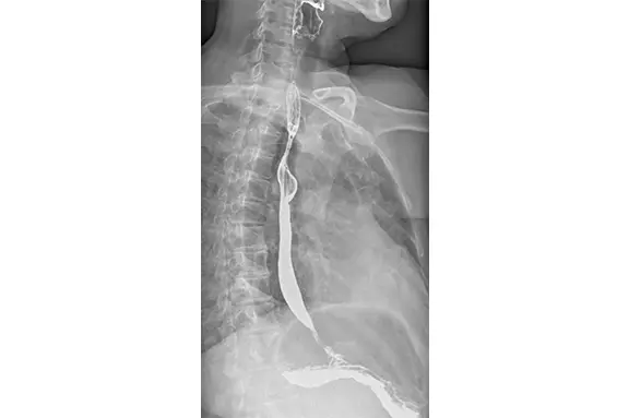
R&F System and Gastrointestinal Fluoroscopy
The iRay detector used for medical dynamic DR and digital gastrointestinal machine is designed for real-time imaging. The new sensor has the characteristics of low noise, 16 bit AD conversion bits, and direct growth Caesium iodide process, providing lower dose and higher quality images for R&F system and digital gastrointestinal machine imaging.
Three detector sizes are featured, including 17× 17for R&F, and 17× 24 & 17× 48.
Related Products
Surgery
iRay provide a real-time imaging detector which designed for surgical C-arm、mobile C-arm systems、interventional therapy. R&D teams have selected low-noise sensors, 16 bit AD converters and direct growth Caesium iodide process as the basis. It provides lower dose and higher quality images for plastic surgery, General surgery, interventional examination and even DSA imaging applications.
The Jupiter series detectors are equipped with innovative IGZO sensors with a frame rate of up to 90 fps, enabling 3D imaging and better providing intuitive and accurate image information for surgeries.
Related Products

Dental solution
iRay provides a variety of flat panel detectors for extraoral dental imaging.
Dental CBCT and Panoramic Imaging
iRay offers the Jupi series of flat panel detectors for dental Cone Beam Computed Tomography (CBCT). They belong to a new generation of high-performing FPD’s developed with innovative IGZO (oxide TFT) sensor technology for super-fast, real-time imaging. The low noise IGZO image sensors have a directly deposited CsI scintillator, which enables excellent low-dose imaging. The Pluto detectors designed for panoramic X-rays are based upon state-of-the-art, solid-state CMOS scanning sensors, which support frame rates in up to 300 fps.
Related Products
Dental Cephalometric Imaging
iRay offers two detector solutions for dental cephalometric imaging. The Venu 1012VD is a 10×12-inch a-Si FPD, which features a 125 μm pixel pitch with direct deposition CsI that provides excellent image quality for single-shot Ceph. The Pluto 0900X is state-of-the-art, solid-state CMOS scanning detector. This detector enables frame rates up to 300 fps and supports digital time delay integration (TDI) for outstanding imaging during the Ceph. scan.
Related Products
Intra-oral Imaging
iRay offers the ultra-low dose of intraoral dental sensors . Portable, easy-to-use intraoral sensors are innovative solutions that feature optimal image quality and comfortable to elevate your quality of care.
Related Products

Oncology solution
iRay detectors for oncology solutions are designed for integration with radiotherapy and radiosurgery systems. They are intended for real-time imaging in combination with radiation from Linac sources.
Oncology
The iRay Mercu series includes detectors designed specifically with radiotherapy and radiosurgery systems in mind. They are suitable for real-time, high energy imaging, provide a high dynamic range, and are intended for integration with Linac sources.
Related Products

Veterinary solution
From megafauna like horses to meiofauna like pets, iRay provides a variety of flat panel detectors specially designed for veterinary applications to meet the demands of various pet DR markets. Such detectors are widely used by pet hospitals, pet agencies, zoos, institutes of zoology, animal schools and other clinic X-ray examination and research.
Large Animals and Equine
iRay provides portable wireless flat panel detectors for the imaging of legs, ankles, feet and other parts of megafauna like horses. With easy handiness, they are extensively applicable for standing or lying imaging of megafauna like horses.
Wireless / tethered flat panel detectors of iRay are also suitable for the imaging of other body parts of megafauna like horses. With high resolution and high gray scale, they guarantee the clear shooting and distinct sense of layering.
Related Products
Small Animals and Pets
The X-ray flat panel detectors with high resolution and high sensitivity provided by iRay could be used for updated application of pet DR and pet X-ray machines.
With card type AED design, they are also applicable to complete machine systems and upgraded applications. The whole series are designed with CsI technology of natural growth mode, improving image quality, matching with panel workflow with rapid heartbeat and high respiratory rate of animals and especially suitable for digital X-ray examination of the pet market.
Related Products

NDT solution
The iRay portfolio for NDT includes detectors for portable field use as well as installation in inspection systems for a variety of industries.
Portable Weld Inspection
The iRay NDT portable wireless flat panel detectors provide you with a light weight, a high degree of ingress protection, robust data transmission, and high reliability. The detectors can be used with high X-Ray energies, and scintilators can be cusotmized to your application and X-Ray source.
Related Products
Machine Inspection (Automotive, Aerospace, etc)
iRay industry version NDT series detectors have different iSRb, CS, efficiency, SMTR solutions, meanwhile all industry detectors provide multiple indystry level scintillators.
Related Products
Machine Inspection (Electronics, Scientific Samples, Foundries,etc)
Dedicated to high resolution machine inspection of electronics components, circuit boards, or various scintific samples, the iRay IGZO Jupi or CMOS Pluto detectors provide many options to customize your inspection system in terms of sptial resolution, imaging rate, and detector size.
