Chest, Trauma, & General Imaging
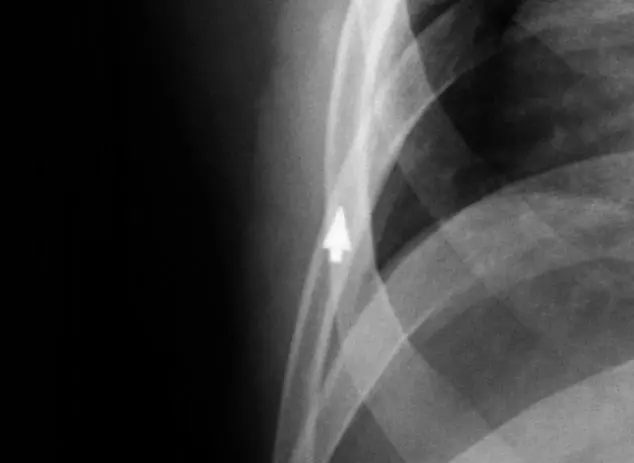
Communicate points of interest such as entry/exit sites, areas of pain, or nipple location in general or emergency imaging with radiopaque pellets and arrows.
Resources visit our Educational Center for more
Instructions and Product Safety Resources visit our Educational Center for more
Chest, Trauma, & General Imaging
Communicate points of interest such as entry/exit sites, areas of pain, or nipple location in general or emergency imaging with radiopaque pellets and arrows.
Your Dynamic Snippet will be displayed here... This message is displayed because you did not provide both a filter and a template to use.
