CT-SPOT® Skin Markers for CT Simulation
Low density, self-adhesive skin markers for CT treatment planning designed to image brightly on every slice with minimal streaking or artifact
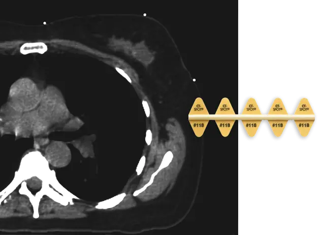
Unique Non-Metallic Pellets, Crosshair, and Line Image Brightly Under CT Simulation without Streaking or Artifact
Streak artifact from high-attenuation materials, such as metallic markers can distort the true density of normal tissue and affect radiation dosage calculation. As a result, the dosimetrist spends more time trying to factor out the distortion and match the affected tissue with the Hounsfield units of nearby tissue unaffected by the distortion.
Artifact can be an avoidable obstacle for the radiation oncology team
Low density self-adhesive CT-SPOT® skin markers for treatment planning are designed to image brightly on every slice and reduce with minimal streaking or artifact.
CT-SPOT pellets, crosshair, and line help to reduce the amount of time the dosimetrist spends auto-contouring images while remaining a bright visual aid for the interpreting radiation oncologist.
- Use CT-SPOT pellets for marking 3-point setups and isocenters
- Use CT-SPOT crosshair for marking 3-point setups, isocenter, and field borders
- Use CT-SPOT line for marking field borders, tangents, scars, sarcomas, and larger treatment areas
Resources visit our Educational Center for more
Instructions and Product Safety Resources visit our Educational Center for more
CT-SPOT® Skin Markers for CT Simulation
Low density, self-adhesive skin markers for CT treatment planning designed to image brightly on every slice with minimal streaking or artifact.
